Lung Cancer Detection System - Medical Report
Report ID: A9FEB8996688 | Patient: adfsd | Date: 2025-08-03 04:59:46
Medical Report
Report ID: A9FEB8996688
Patient Name:
adfsd
Analysis Date:
2025-08-03 04:59:46
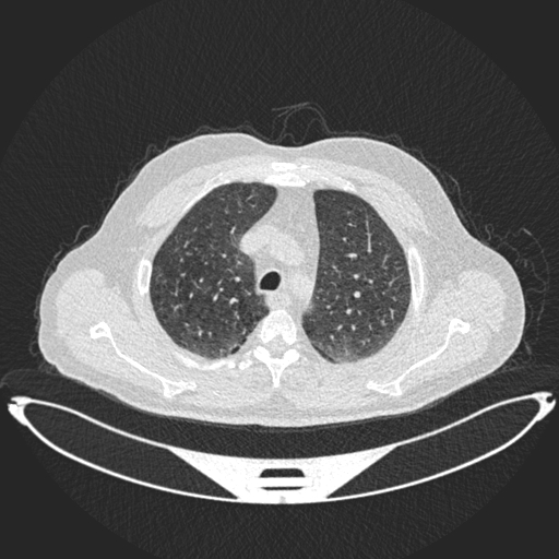
Analyzed Image
a.jpg
Uploaded: 2025-08-03 04:59:46Best Model Result
Normal
Confidence: 57.5%
Model: DenseNet121
Ensemble Prediction
Normal
Confidence: 39.5%
Average of all modelsModel Predictions Comparison
ResNet50
Malignant
Bengin:
32.1%
Malignant:
34.5%
Normal:
33.3%
34.5%
ConfidenceDenseNet121
Normal
Bengin:
31.6%
Malignant:
10.8%
Normal:
57.5%
57.5%
ConfidenceEnhancedCNN
Malignant
Bengin:
19.7%
Malignant:
52.6%
Normal:
27.7%