Lung Cancer Detection System - Medical Report
Report ID: 1D659CA444DA | Patient: dafdsdsf | Date: 2025-08-03 04:59:10
Medical Report
Report ID: 1D659CA444DA
Patient Name:
dafdsdsf
Analysis Date:
2025-08-03 04:59:10
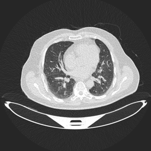
Analyzed Image
b.jpg
Uploaded: 2025-08-03 04:59:10Best Model Result
Malignant
Confidence: 65.9%
Model: DenseNet121
Ensemble Prediction
Malignant
Confidence: 52.4%
Average of all modelsModel Predictions Comparison
ResNet50
Malignant
Bengin:
29.6%
Malignant:
40.4%
Normal:
29.9%
40.4%
ConfidenceDenseNet121
Malignant
Bengin:
22.0%
Malignant:
65.9%
Normal:
12.2%
65.9%
ConfidenceEnhancedCNN
Malignant
Bengin:
19.6%
Malignant:
51.0%
Normal:
29.4%